Text Us!
The Smile Shop
Adam Spriggs DDS & Kate Dolin DDS

Smile Makeover

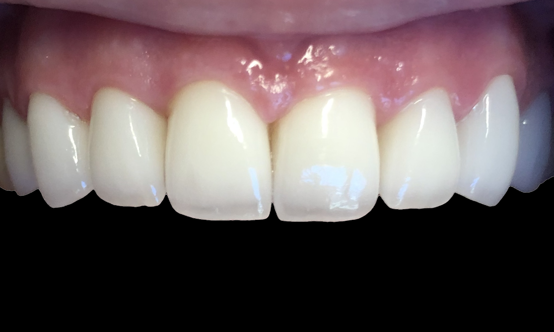
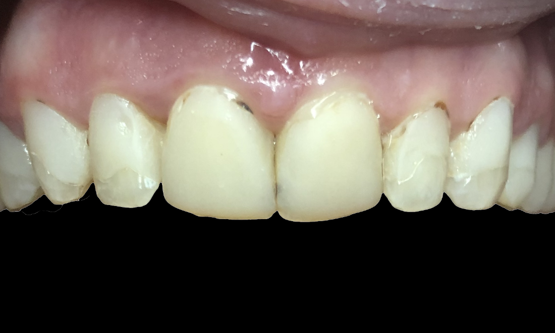
This patient suffered from cavities on her front teeth that affected her smile for years.  We placed ceramic crowns to restore her beautiful smile.

Not finding what you need?
If you have difficulty using our website, please email us or call us at (919) 941-5549
Privacy Policy