Smile Gallery
If you have ever thought about what your dream smile would look like, now's your chance to get inspired with some before and after pictures of our actual patients who've had their smiles transformed. When you're ready to take the first step to a healthier, more attractive smile, call us to schedule an appointment!


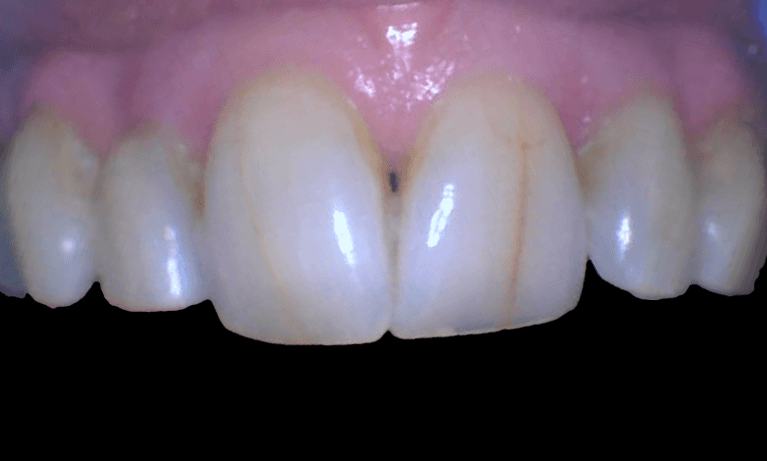
This patient suffered from cavities on her front teeth that affected her smile for years. We placed ceramic crowns to restore her beautiful smile.


This patient presented with some concerns about their front teeth. Both teeth have vertical fractures as well as chips/wear on the incisal edge. Full coverage zirconia crowns were placed to improve the esthetics of the teeth and to offer protection to prevent the teeth from fracturing further.


Patients with damaged front teeth often seek a natural-looking restoration, and our approach provides just that. We've skillfully repaired chips, cracks, and decay using advanced filling material, blending seamlessly with the natural tooth. The result is a rejuvenated smile that radiates confidence, where the dental work remains our secret.
Tooth-Colored Fillings and Dental Bonding in Durham, NC
Want to learn more about the brilliance of tooth-colored fillings or aesthetic tooth bonding? Call us to schedule a consultation.


Molars, given their location and function, are prime targets for decay. We've eradicated decay and flawlessly restored these vital teeth using state-of-the-art dental techniques. The molar's integrity is reinforced with tooth-colored fillings while preserving its natural appearance.
Aesthetically Repair Teeth with Tooth-Colored Fillings
Dental repair no longer means a mouth full of noticeable silver fillings; our approach ensures strength and subtlety. A natural-looking smile and a healthier bite are just a phone call away!


Improper brushing techniques can damage the gums and teeth over time. The aggressive pressure of a toothbrush and even a history of clenching and grinding your teeth can lead to notches evident in these photos. As you can see, the gums have receded exposing the root of the tooth and the protective enamel layer is gone. Not only does it affect the aesthetics of your smile, but it can also lead to sensitivity issues.
These areas can be restored and protected with tooth-colored composite restorations.


Stain on your teeth often develops from various food and drinks. Routine cleaning appointments with our talented dental hygienists not only remove the plaque and tartar buildup but can also remove the staining to restore your beautiful and bright smile.


For those who have felt the weight of imperfections or longed for a brighter, more aligned smile, our cosmetic solutions are the answer. Using leading-edge techniques and materials, we've transformed smiles from lackluster to luminous. For this patient's smile, we used tooth-colored composite to repair and restore their smile's natural beauty.
Unveil Your Smile’s Beauty
From veneers and bonding to teeth whitening, the outcomes have been nothing short of breathtaking. With The Smile Shop’s cosmetic restorations, we can help you unveil the radiant smile you've always dreamed of!


Internal bleaching is indicated when a tooth has been previously been treated with root canal therapy. Sometimes after a tooth is injured, it can start to darken like the Before Photo. An internal bleaching procedure is completed in office with our Opalescence whitening products. The result is a beautiful, white smile.


This patient had a defective amalgam or silver filling that was breaking down and had a cavity forming underneath. We replaced the broken down amalgam filling with a white composite.


Patient presented with concerns about the aesthetics of her smile including shade, shape and function of her teeth while chewing. She completed a cleaning to remove tartar and plaque buildup, a simple take-home whitening system by Opalescence to brighten her smile, we removed defective fillings on her back molars that were breaking down and made two beautiful bridges placed on her upper and lower teeth to address the function of chewing. Next, we used white composite fillings to close the gaps of her front teeth to create a more cohesive smile. These fillings to close gaps are ...


This patient had crowns and anterior composite restorations replaced on her front teeth. The older crowns caused her smile to be uneven and recurrent cavities were found under old fillings. New all-ceramic crowns were placed on her front two teeth along with beautiful white composite fillings to improve her esthetics.


Tooth decay is often dark an unsightly. Tooth-colored fillings can help restore the tooth back to it's natural brightness.