Text Us!
The Smile Shop
Adam Spriggs DDS & Kate Dolin DDS

Improving Your Smile with Comprehensive Treatment

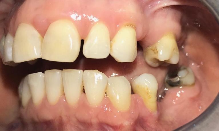
Patient presented with concerns about the aesthetics of her smile including shade, shape and function of her teeth while chewing.  She completed a cleaning to remove tartar and plaque buildup, a simple take-home whitening system by Opalescence to brighten her smile, we removed defective fillings on her back molars that were breaking down and made two beautiful bridges placed on her upper and lower teeth to address the function of chewing.  Next, we used white composite fillings to close the gaps of her front teeth to create a more cohesive smile.  These fillings to close gaps are conservative and require no tooth to be removed!

Still need an appointment?
If you have difficulty using our website, please email us or call us at (919) 941-5549
Privacy Policy